Early findings from a small clinical trial provide evidence that a new cellular immunotherapy approach may be effective in treating metastatic solid tumors.
In the trial, researchers from the National Institutes of Health (NIH) genetically engineered normal white blood cells, known as lymphocytes, from each patient to produce receptors that recognize and attack their specific cancer cells. These initial findings are from people with metastatic colorectal cancer who had already undergone multiple earlier treatments. The personalized immunotherapy shrank tumors in some patients and was able to keep the tumors from regrowing for up to seven months. The findings were published July 11, 2024, in Nature Medicine.
The new approach overcomes two challenges in cellular immunotherapy: how to produce large numbers of T cells that can recognize cancer cells specifically, and how to boost the ability of modified T cells to multiply once they’ve been returned to the patient.
For each patient in the study, Steven A. Rosenberg, M.D., Ph.D. and his colleagues collected lymphocytes present in the patient’s tumors. They then used sophisticated molecular characterization techniques to identify and isolate receptors on those lymphocytes, called T-cell receptors, that recognized specific changes in each patient’s tumor. After genetically sequencing those receptors, they then used a retrovirus to insert the genes for the receptor into normal lymphocytes collected from each patient’s circulating blood.
The genetically modified lymphocytes were then multiplied into the hundreds of millions in the laboratory and infused back into the patients, where they expressed the tumor-specific T-cell receptors and continued to multiply.
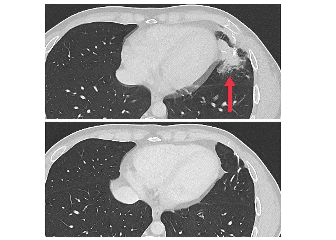
As part of a larger phase 2 trial, seven patients with metastatic colon cancer were treated with the experimental personalized cellular immunotherapy. All seven received several doses of the immunotherapy drug pembrolizumab (Keytruda) before the cell therapy and another immunotherapy drug called IL-2 afterward. Three patients had substantial shrinkage of metastatic tumors in the liver, lung, and lymph nodes that lasted for four to seven months. The median time to disease progression was 4.6 months.
Dr. Rosenberg noted that, of the three patients who responded to the treatment, two had received T-cell receptors derived from cytotoxic T cells, which are primarily responsible for killing diseased cells. Dr. Rosenberg said his research team is exploring how to put the T cell receptors into subtypes of normal lymphocytes to improve their reactivity.
Colon cancer is just one of many solid tumors the researchers are studying. The trial is still ongoing and includes patients with different types of solid cancers.

