New high-tech microscope using AI successfully detects malaria in returning travelers

Researchers have tested the accuracy of an automated microscope combined with AI software to identify malaria parasites in blood samples – an additional diagnostic approach to disease detection.
Aug. 21, 2023

Writing in Frontiers in Malaria, an international team of researchers has assessed whether a fully automated system, combining AI detection software and an automated microscope, can diagnose malaria with clinically useful accuracy.

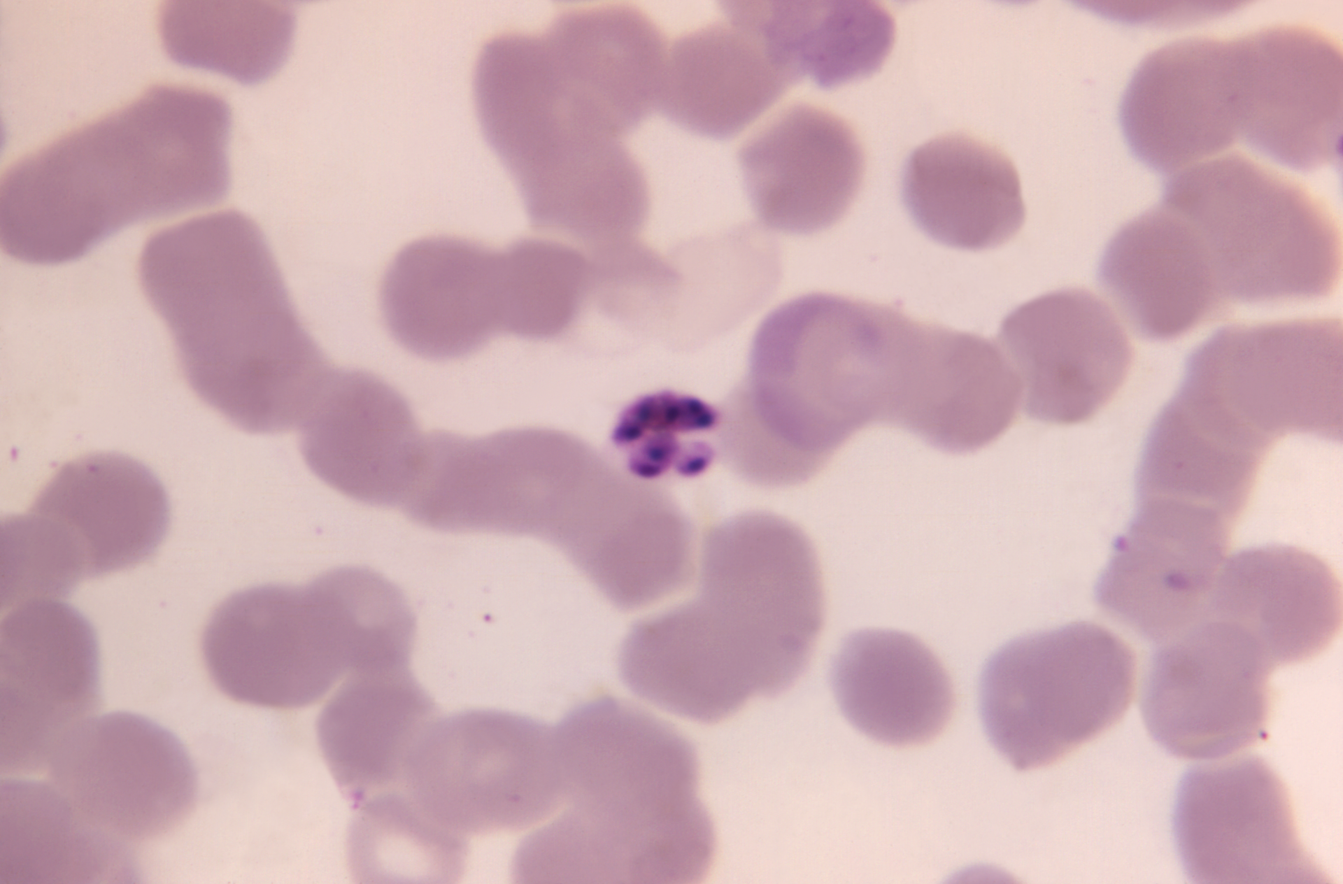
The researchers sampled more than 1,200 blood samples of travelers who had returned to the UK from malaria-endemic countries. The study tested the accuracy of the AI and automated microscope system in a true clinical setting under ideal conditions.

They evaluated samples using both manual light microscopy and the AI-microscope system. By hand, 113 samples were diagnosed as malaria parasite positive, whereas the AI-system correctly identified 99 samples as positive, which corresponds to an 88% accuracy rate.

The fully automated malaria diagnostic system the researchers put to the test includes hard- as well as software. An automated microscopy platform scans blood films and malaria detection algorithms process the image to detect parasites and the quantity present.

Frontiers release on Newswise

About the Author

Sign up for our eNewsletters
Get the latest news and updates