April 14 marks the fifth World Chagas Disease Day. The theme for 2024 focuses on early diagnosis and lifelong care, to increase public awareness of Chagas disease and secure greater support and funding for early diagnosis and comprehensive follow-up care initiatives.
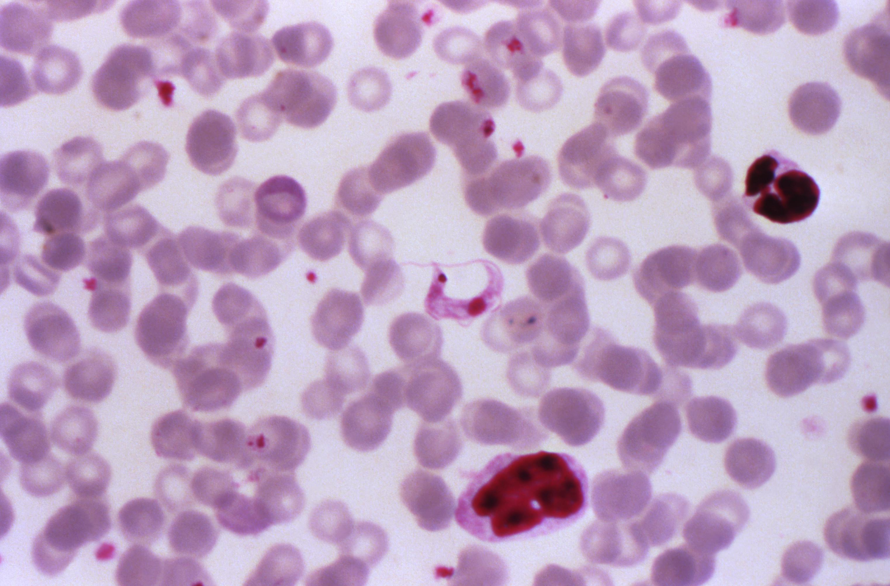
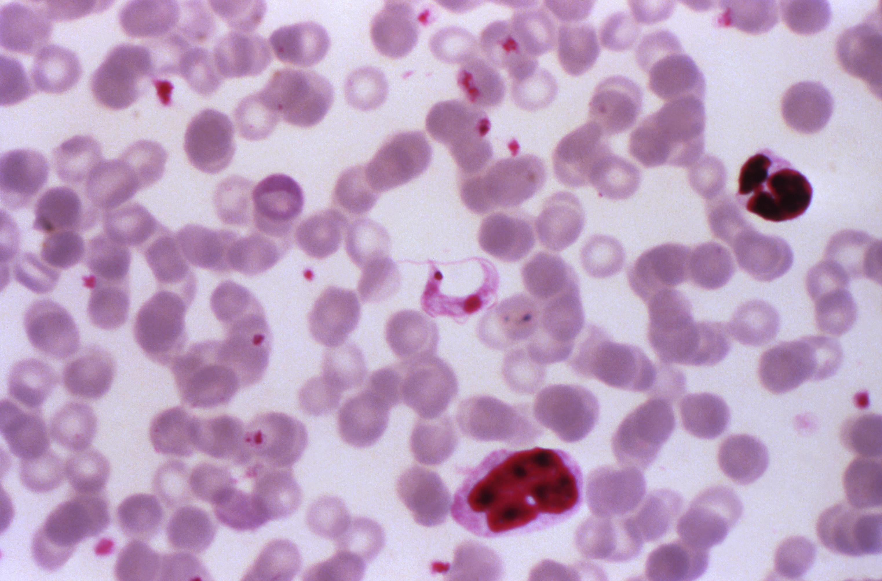
According to the World Health Organization (WHO), an estimated 6–7 million people worldwide are infected with Trypanosoma cruzi, the parasite that causes Chagas disease, leading to some 12,000 deaths every year. At least 75 million people are at risk of infection, with annual incidence estimated to be about 30–40,000 cases. However, in many countries, detection rates are low (less than 10% and often less than 1%) and people suffering from the disease often encounter significant barriers to diagnosis and adequate healthcare.
It remains a public health problem, especially in several endemic areas of continental Latin America, where the burden on health systems is the highest one. In recent years, however, climate change and global migration have expanded the reach of the disease to several countries beyond the Americas.
World Chagas Disease Day 2024 emphasizes the importance of early diagnosis and lifelong care, advocating comprehensive approaches spanning diagnosis and treatment for any confirmed case. Also essential are transmission prevention measures including vector control; blood screening prior to transfusion and transplantation; testing and treating girls, women of reproductive age, newborns and siblings of mothers with infection; and information, education and communication for communities and health professionals. Decentralizing diagnostic and care services within national health systems can significantly enhance case detection, notification and management.

