A new study led by researchers at The University of Texas MD Anderson Cancer, University of California, Irvine and Baylor College of Medicine has created a large and comprehensive map of normal breast tissue, providing a new understanding of mammary biology that may help identify therapeutic targets for diseases such as breast cancer.
The Human Breast Cell Atlas, published in Nature, used single-cell and spatial genomic methods to profile more than 714,000 cells from 126 women. The breast atlas highlights 12 major cell types and 58 biological cell states, and identifies differences based on ethnicity, age and the menopause status of healthy women.
For this study, researchers collected and examined 220 breast tissue samples from 132 women undergoing breast reduction or mastectomy surgery. Of these women, 46% were Caucasian, 41% were African American, 7% were Hispanic, and 6% were of unknown ethnicity. Samples were collected across four institutions, including MD Anderson, UC Irvine, the Dan L Duncan Comprehensive Cancer Center at Baylor St. Luke’s Medical Center and Harris Health System.
This wide-ranging dataset of normal breast cell types and their diverse states across females also takes into account individual factors including ethnicity, age, BMI, obesity, menopause status, pregnancy and number of births, providing a wealth of information that serves as a powerful resource for the research community.
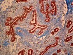
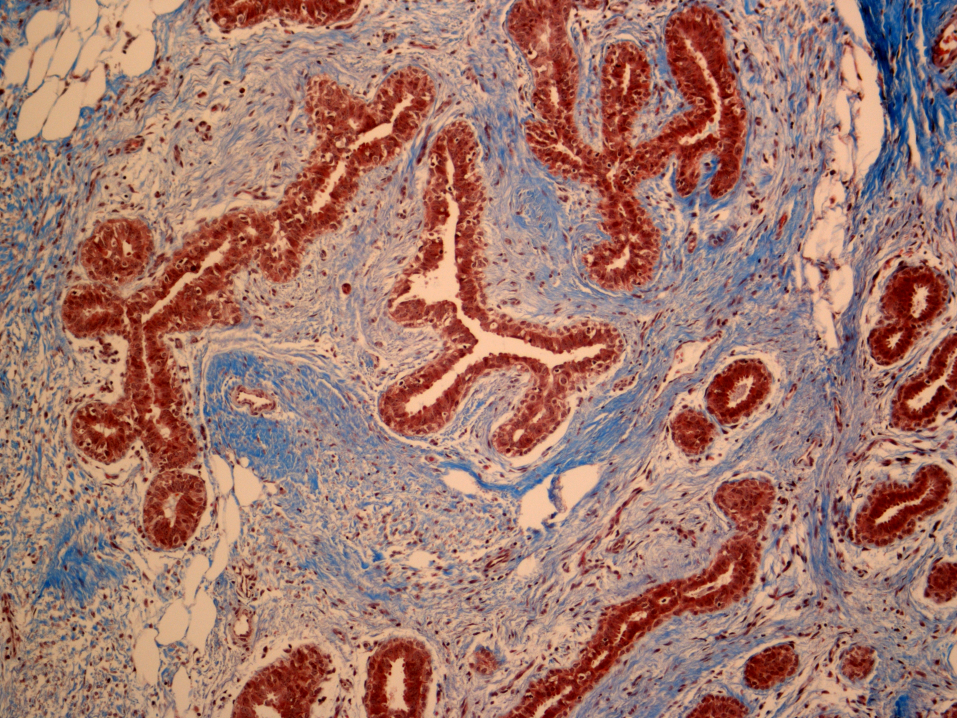
Spatial mapping techniques, which create a map of the cells within the tissue environment, allowed researchers to look at the RNA and protein composition of the samples to understand how and where the different cell types reside.
These techniques resolved the composition of known cell types and new cell states in the four main regions currently known in the breast, including lobular milk-producing areas, ductal areas that transport milk, connective tissue composed of fibroblasts, and adipose areas made up primarily of fatty tissue.
The researchers were surprised to learn that 16.7% of all cells found in normal breast tissue were composed of immune cells, including the three major types: myeloid, natural killer (NK) T cells and B cells. Scientists previously thought that few immune cells would be found in normal tissue.
Additionally, these immune cells were located primarily around ducts and lobules in three of the four major tissue regions. Understanding the nuances of these different immune cells could help in developing more effective immunotherapies for some subtypes of breast cancer, Navin explained, and in defining their role in breast cancer progression.
The researchers also found an unexpectedly high amount (7.4%) of perivascular cells, including pericytes, which regulate blood flow from capillaries into tissues, and vascular smooth muscle cells, which regulate contractions of the arteries.
The study revealed significant differences in breast tissue composition and cell states that were dependent upon ethnicity, age and menopause status.
For example, African American women are disproportionally affected by aggressive breast cancer subtypes, such as triple-negative breast cancer and inflammatory breast cancer, but little is known about the underlying causes of this disparity. The differences seen in baseline cell states in breast tissues from African American women and Caucasian women could, with further research, highlight potential markers for cancer risk prediction.
Additionally, there were significant differences in the breast tissues from women over the age of 50 compared to younger women, as well as differences in cell states dependent on menopause status. Obesity, body-mass index, pregnancy status and breast density also showed some smaller differences in changes of cell types and cell states.

