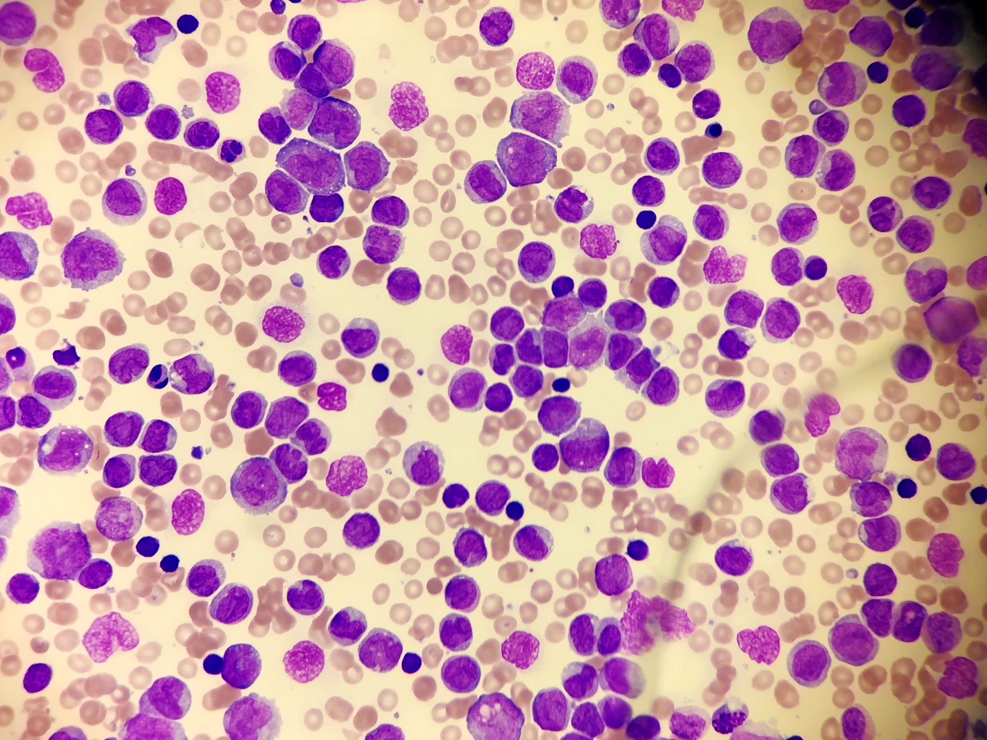
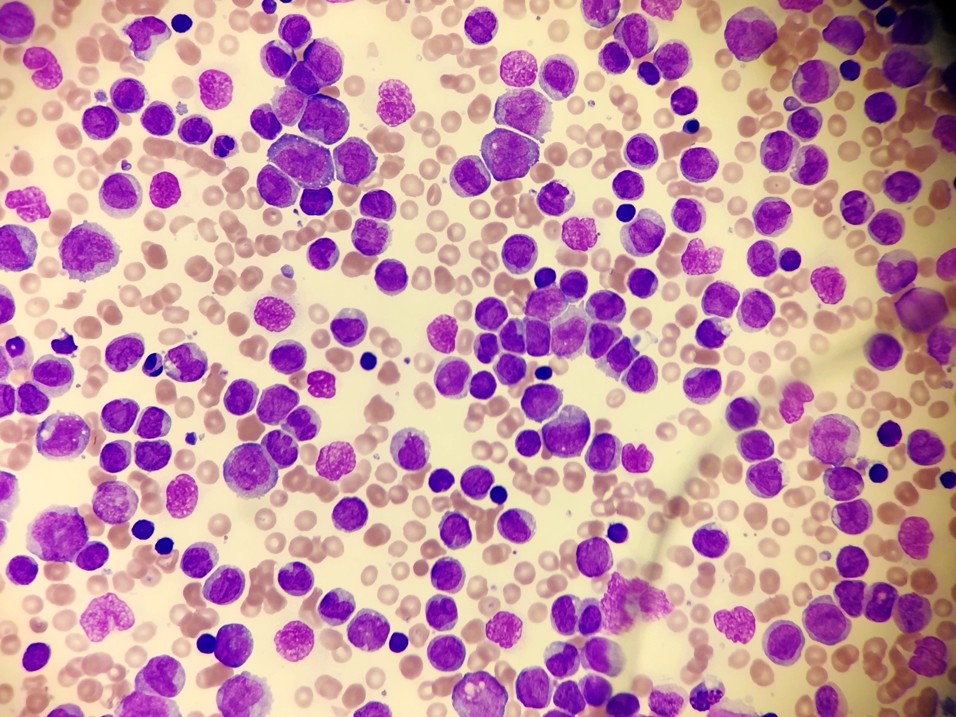
Indiana University School of Medicine researchers studying clonal hematopoiesis of indeterminate potential (CHIP), a blood condition that may increase the risk of blood cancer, discovered that obesity was strongly associated with the condition. Their findings were recently published in the Journal of Clinical Investigation.
The researchers analyzed data from more than 47,000 individuals with CHIP and found 5.8 percent of the population was associated with a significant increase in waist-to-hip ratio. Their work strongly supports the notion that finding ways to maintain a healthy weight and keeping one’s level of systemic inflammation in check may lower the risk of developing blood cancer with age.
As part of their study, the investigators also tested different drug combinations to target CHIP mutant cells and find potential therapeutic approaches for the condition. Overall, the research suggests that a better understanding of the relationship between CHIP and obesity may help identify individuals at risk of developing diseases like leukemia and find methods for future treatments.

