Comprehensive cholera statistics for 2022, published by the World Health Organization (WHO), shed light on the scale and extent of the ongoing cholera upsurge.
While data for cholera remain inadequate, cases reported to WHO in 2022 were more than double those in 2021. Forty-four countries reported cases, a 25% increase from the 35 countries that reported cases in 2021.
Not only were there more outbreaks, but the outbreaks were larger. Seven countries –Afghanistan, Cameroon, Democratic Republic of the Congo, Malawi, Nigeria, Somalia, Syrian Arab Republic–have each reported over 10 000 suspected and confirmed cases. The larger the outbreak, the harder it typically is to control.
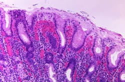
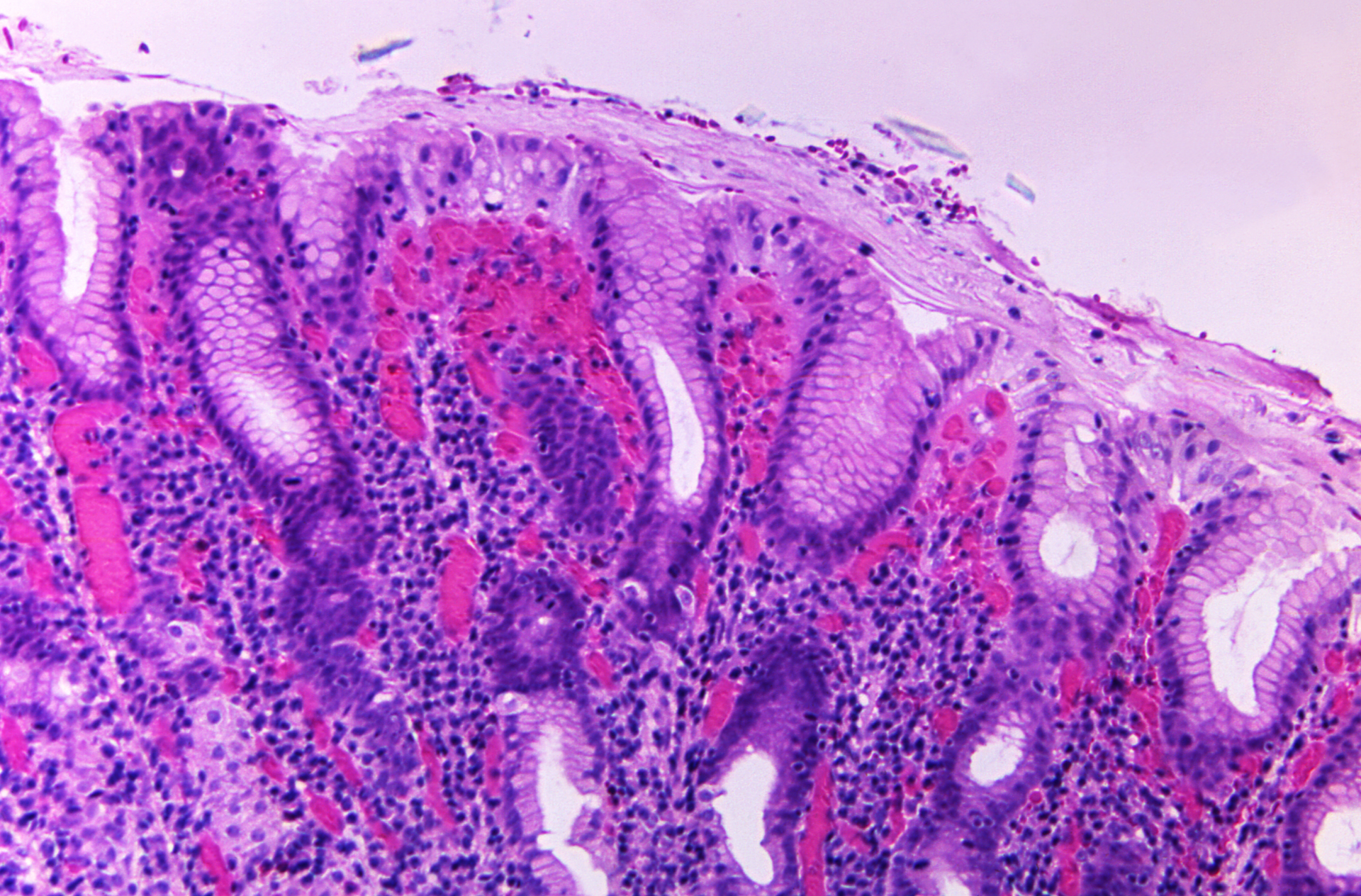
Cholera is an acute intestinal infection that spreads through food and water contaminated with feces containing the bacterium Vibrio cholerae. It is closely linked to the lack of adequate safe water and sanitation, due to underdevelopment, poverty and conflict. Climate change too is playing a role in this upsurge as extreme climate events like floods, droughts and cyclones trigger new outbreaks and worsen existing ones.
Current data for 2023 suggest that this global upsurge is continuing. Twenty-four countries are currently reporting active outbreaks, with some countries in the midst of acute crises.
The increased demand for cholera materials has been a challenge for disease control efforts globally. Since October 2022, the International Coordinating Group (ICG)—the body which manages emergency supplies of vaccines—has suspended the standard two-dose vaccination regimen in cholera outbreak response campaigns, using instead a single-dose approach.
WHO has appealed for US$ 160.4 million to respond to cholera through the global strategic preparedness, readiness and response plan. US$ 16.6 million has been released from the WHO Contingency Fund for Emergencies for cholera response in 2022 and 2023.

