| | | | | | | | | This article discusses the significance of anti-nuclear antibody (ANA) testing in diagnosing systemic autoimmune rheumatic diseases (SARDs), emphasizing the need for serial dilutions to unmask masked patterns and improve diagnostic accuracy. |
|
|
| | Your lab is making a difference—now it’s time to be recognized. Celebrate your team’s innovation, dedication, and impact by submitting your nomination for MLO’s 2026 Lab of the Year Award today. |
|
|
|
| |
| | |
|
|
| | | | Sponsored | | Cases of vector-borne diseases have increased significantly since 2004, with more than 1 million cases reported between 2001 and 2023 in the United States. Early detection is key to outbreak control. PCR remains the gold standard for accurate, reliable detection. |
|
|
|
| |
| | |
|
|
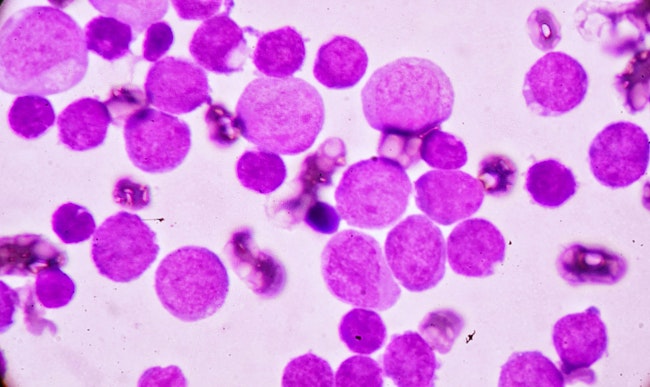
| | | | | | The conference emphasized the importance of integrating advanced genetic testing into clinical practice, offering more precise disease monitoring, better risk stratification, and personalized treatment strategies for AML patients. |
|
|
| | Researchers at Harvard and Brigham and Women’s Hospital developed a targeted genetic test that accurately detects mutations linked to XDP more effectively, correctly diagnosing cases missed by traditional tests, and aiding early intervention for this rare disorder. |
|
|
|
| |
| | |
|
|
| | | | | | Danaher companies Integrated DNA Technologies (IDT) and Beckman Coulter Life Sciences are forming a strategic partnership to automate IDT’s wide range of customizable next generation sequencing (NGS) assay solutions on the newly launched Biomek i3 Benchtop Liquid Handler. |
|
|
|
| |
| | |
|
|
| | | | Sponsored | | A strong healthcare supply chain workforce is vital for resilience, efficiency, and crisis response. Join our 11/20 webinar to learn how specialized training, digital upskilling, and automation readiness can improve forecasting, inventory management, and patient care. |
|
|
|
| |
| | |
|
|
| | |
|
| | |
|