| | | | | | | Sponsored | | Designed to support CLIA-compliant calibration and calibration verification procedures for blood gas, electrolyte, and metabolite analyzers. RNA Medical’s controls enable laboratories to substantiate instrument accuracy across the reportable range by assaying materials of known concentration—ensuring reliable, traceable, and regulatory-aligned performance. |
|
|
|
| |
| | |
|
|
| | | | | | Heading to AMP 2025 this week? We’d love to see you! Stop by MLO Booth #1045 through Saturday to connect with our team and explore the latest peer-authored insights in molecular diagnostics, lab management, regulatory updates, and more. Below are highlights from the show! |
|
|
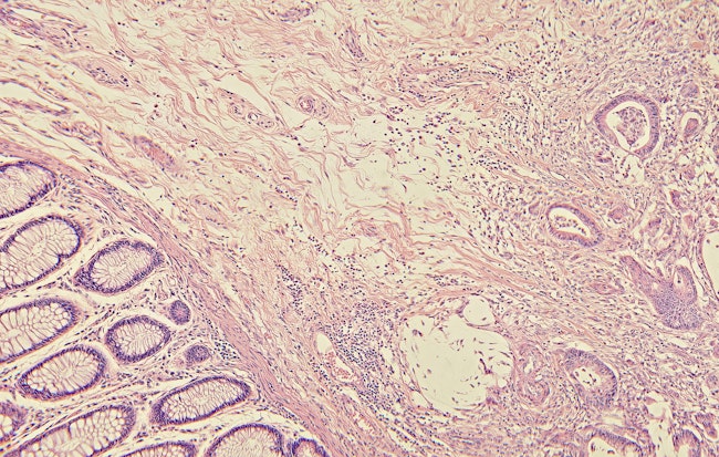
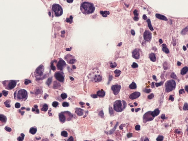
| | Researchers at the University of Chicago adapted ancient DNA techniques to extract and sequence genetic material from nearly century-old colorectal cancer samples, revealing insights into disease evolution and microbial associations. |
|
|
|
| |
| | |
|
|
| | | | Sponsored | | Cases of vector-borne diseases have increased significantly since 2004, with more than 1 million cases reported between 2001 and 2023 in the United States. Early detection is key to outbreak control. PCR remains the gold standard for accurate, reliable detection. |
|
|
|
| |
| | |
|
|
| | | | | | Recent studies presented at AMP 2025 highlight how optical genome mapping (OGM) enhances detection of genetic abnormalities linked to recurrent pregnancy loss, surpassing traditional methods. |
|
|
| | Experts present groundbreaking AI applications in molecular diagnostics, including high-accuracy cancer classifiers, noninvasive CNS tumor detection via cerebrospinal fluid, and AI-assisted cytogenetics. These innovations aim to improve diagnostic precision and support personalized medicine. |
|
|
|
| |
| | |
|
|
| | | | | | Researchers have developed a multiplex real-time PCR test that swiftly and accurately detects three serious fungal infections—Histoplasmosis, Blastomycosis, and Coccidioidomycosis—bypassing traditional slow culture methods, thus enabling quicker diagnosis and treatment. |
|
|
|
| |
| | |
|
|
| | | | Sponsored | | It’s that time of year again — back to school, back inside, and back to more togetherness — this means all the usual suspects will be showing up. Puritan® specimen collection and transport systems provide a wide variety of options for testing supplies that are convenient for collection and comfortable for patients. Visit the Puritan swab experts at AMP2025 – Booth #1129. |
|
|
|
| |
| | |
|
|
| | | | | | Researchers at Dartmouth Hitchcock Medical Center have developed a droplet digital PCR (ddPCR) assay that accurately detects Borrelia burgdorferi, the bacteria causing Lyme disease, in skin samples, promising faster diagnosis and treatment. |
|
|
|
| |
| | |
|
|
| | |
|
| | |
|