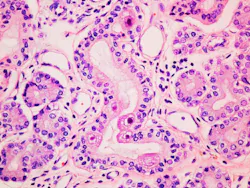
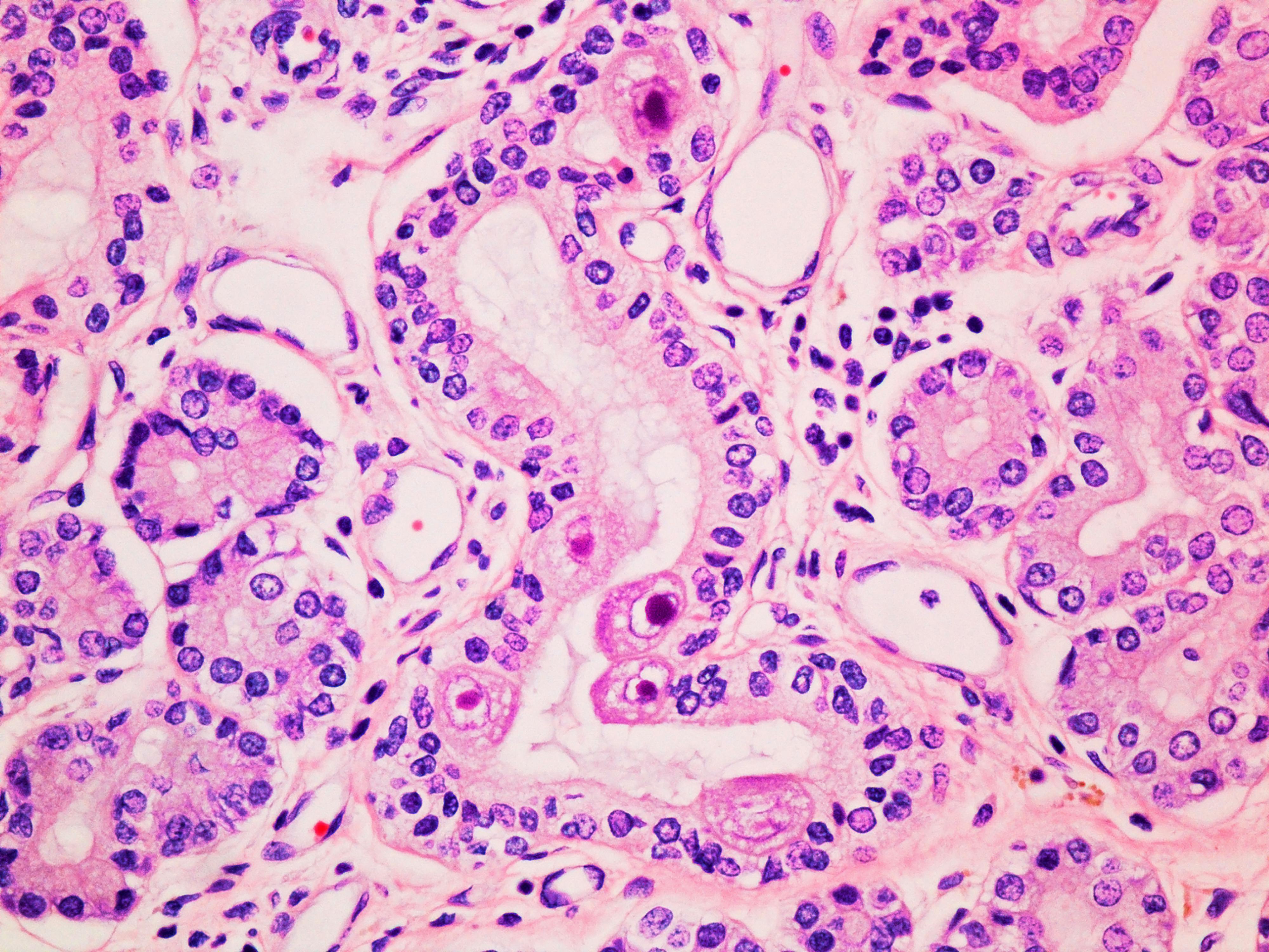
Scientists from UCLA Health have discovered a possible new cytomegalovirus (CMV) treatment pathway, according to a press release.
The treatment involves leading immune cells to kill CMV-contaminated cells. The researchers built antibodies that could achieve this. They are working on publishing their favorable findings in Science Advances. The team hopes that their discovery will offer CMV patients a safer, quicker, and more affordable treatment option. The antibodies would replace current CMV drugs and therapies.
According to UCLA, the researcher’s antibodies “act as a bridge connecting CD3-epsilon on CD8+T-cells (CTLs) to a viral protein on CMV-infected cells. This leads to the CTLs clustering around the infected cell and killing it.”
About the Author
Sign up for our eNewsletters
Get the latest news and updates

