Immunocompromised patients have a higher risk of developing skin cancer after beta-HPV, study finds
A new study conducted by the National Institutes of Health (NIH) has proven that beta- human papillomavirus (beta-HPV) causes cutaneous squamous cell carcinoma (cSCC) in immunocompromised patients. The findings are reported in a release.
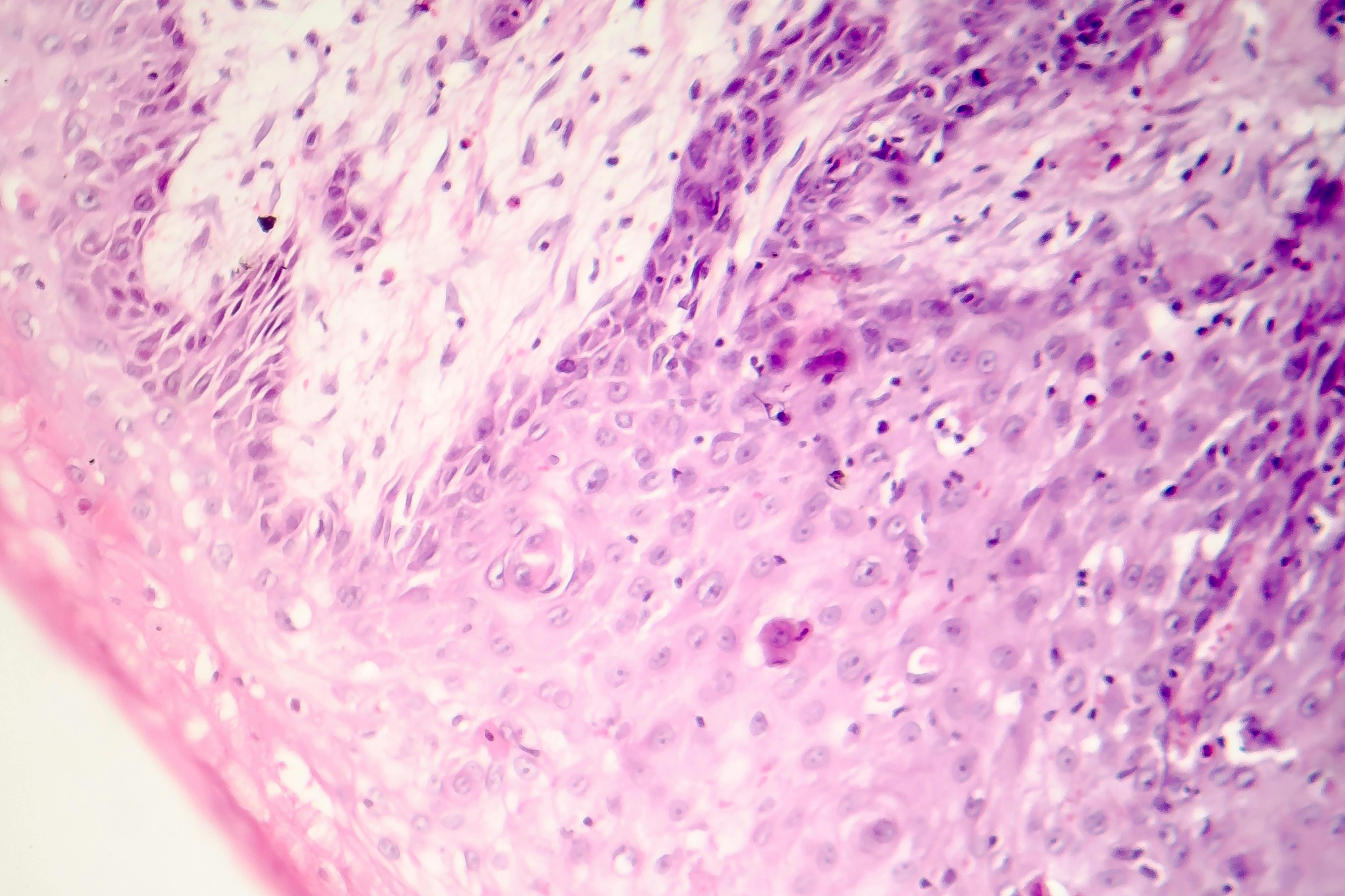
The scientists launched an investigation after a woman came to the NIH Clinical Center with recurrent cSCC. According to the NIH, “The tumor was one of many progressively worsening HPV-related diseases the woman was experiencing.” Upon conducting a “sophisticated genetic analysis,” the scientists found that beta-HPV “had integrated into the cellular DNA of the woman’s well-established tumor” and caused cSCC.
Additionally, the researchers’ findings suggest that the patient’s inherited immune disorder was exacerbating her HPV-related diseases. The NIH ultimately decided to perform a stem cell transplant to treat the immune disorder. The procedure was successful in curing the patient’s HPV-related conditions. The NIH says, “This confirms that the woman’s inherited disorder had prevented her T cells from keeping beta-HPV in check, allowing the virus to directly cause and sustain cSCC.”

