New research from Zhejiang Chinese Medical University could lead to better quality of life for breast cancer patients.
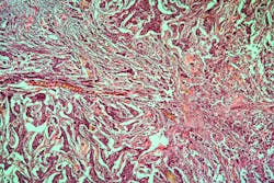
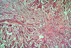
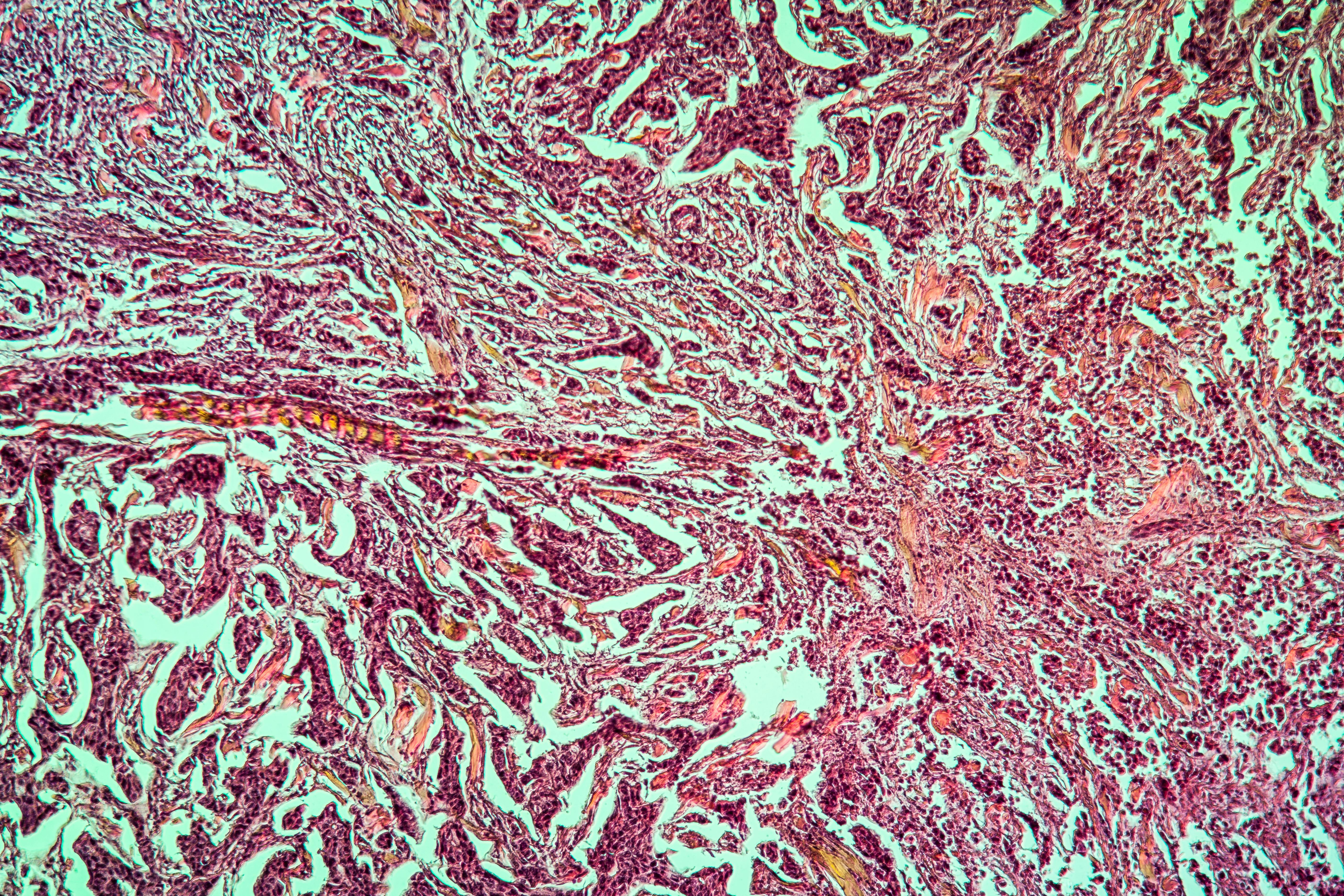
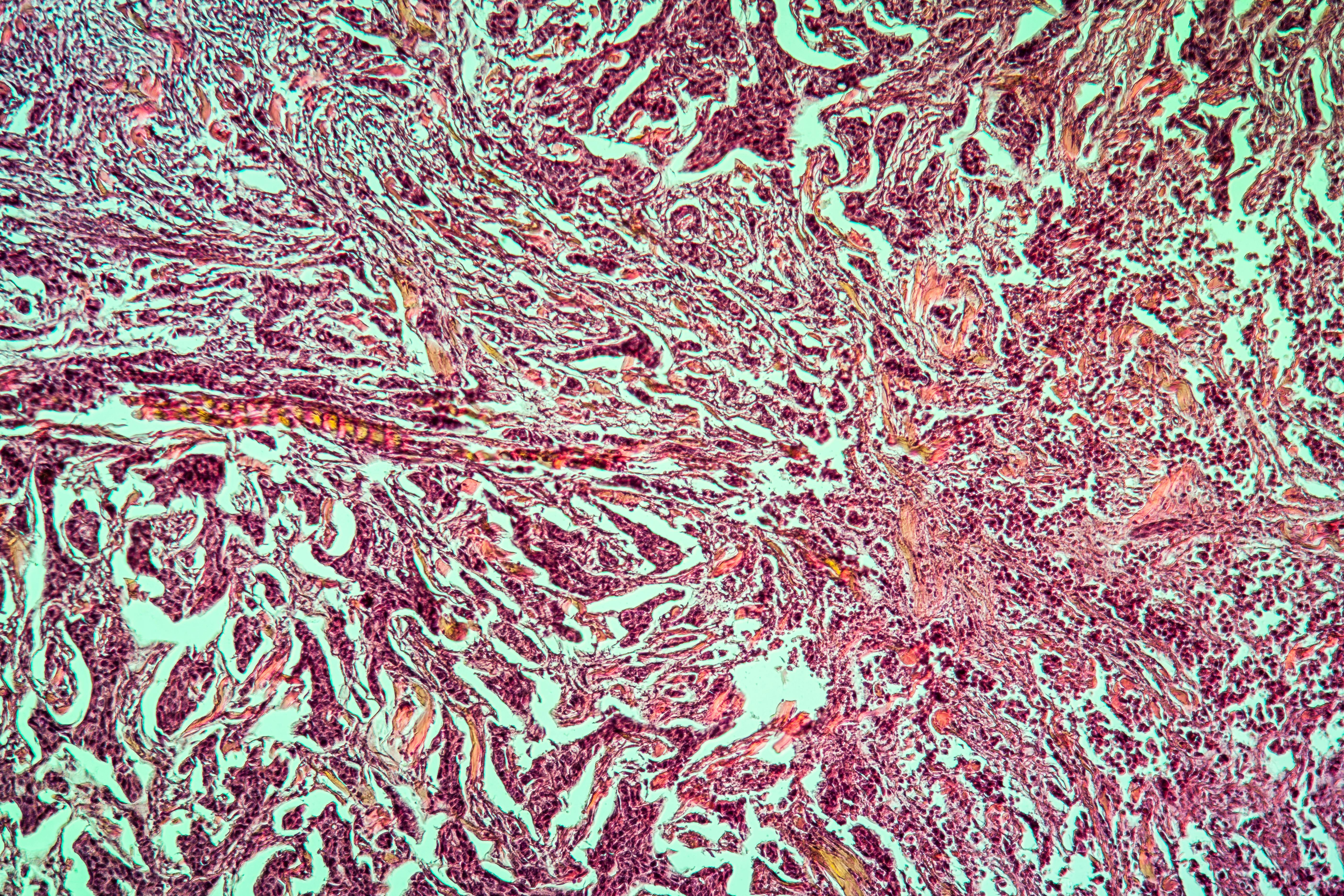
The study was published in Cancer Biology & Medicine and demonstrates understanding of the connection between angiogenesis and drug resistance in breast cancer.
According to a press release, “the review provides fresh insights into how abnormal blood vessels formed through angiogenesis hinder drug delivery, creating a challenging tumor microenvironment. The research explores how anti-angiogenic therapies could reverse these effects, potentially enhancing the efficacy of existing treatments and offering a new avenue for combating resistance in breast cancer.”
Additionally, “the study explains how the aberrant blood vessels resulting from angiogenesis not only worsen tumor oxygen deficiency (hypoxia) but also obstruct the delivery of drugs to the tumor site, undermining treatment efforts. A key focus of the study is the potential of anti-angiogenic therapies, which aim to normalize these blood vessels and restore effective drug distribution. The paper evaluates various anti-angiogenic drugs, their mechanisms in reversing resistance, and their synergistic effects when combined with other therapies like chemotherapy, targeted treatment, or immunotherapy. These findings suggest that incorporating anti-angiogenesis strategies could greatly enhance the effectiveness of current breast cancer therapies, leading to better patient outcomes.”

