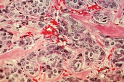
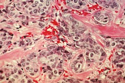
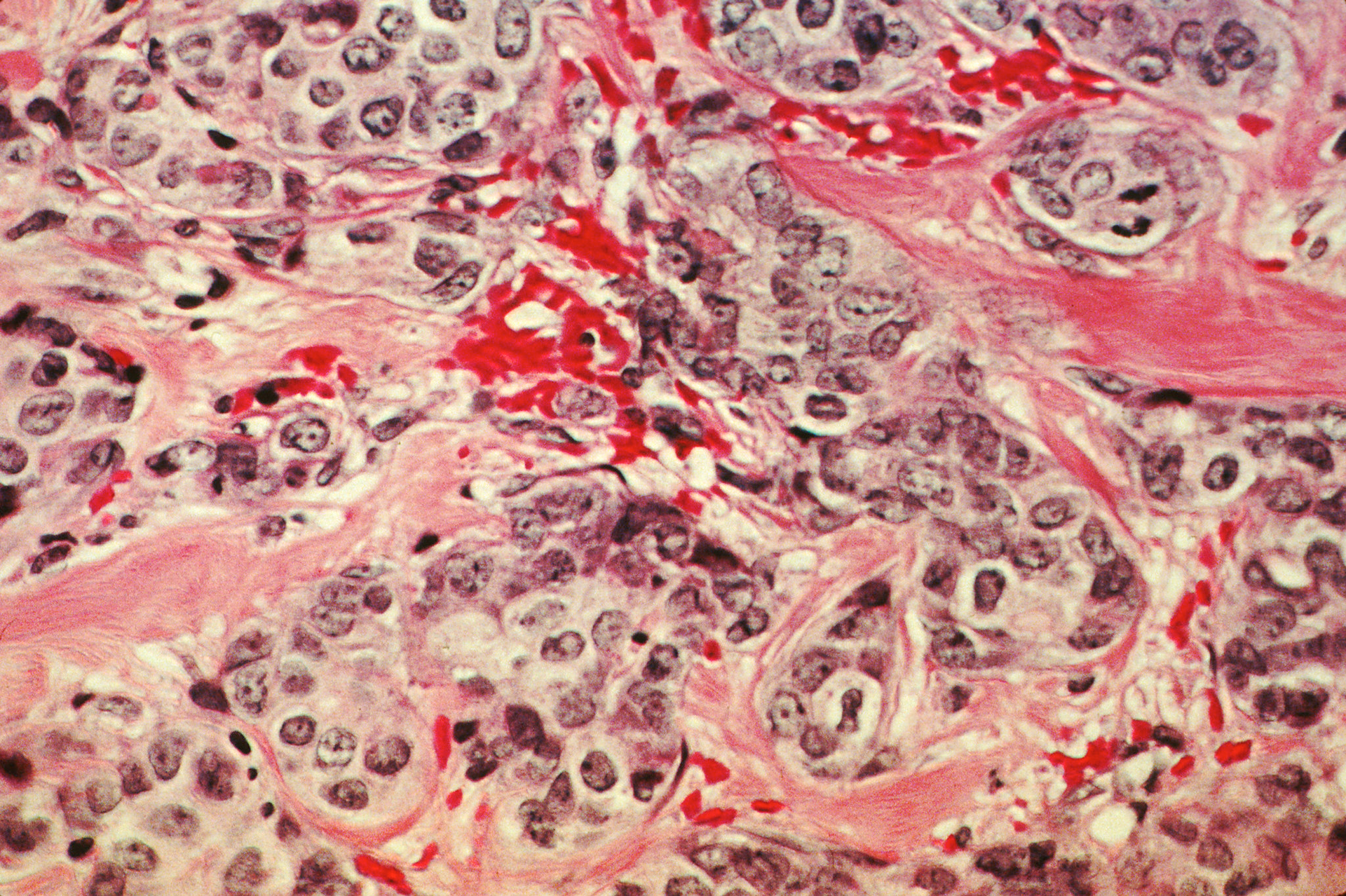
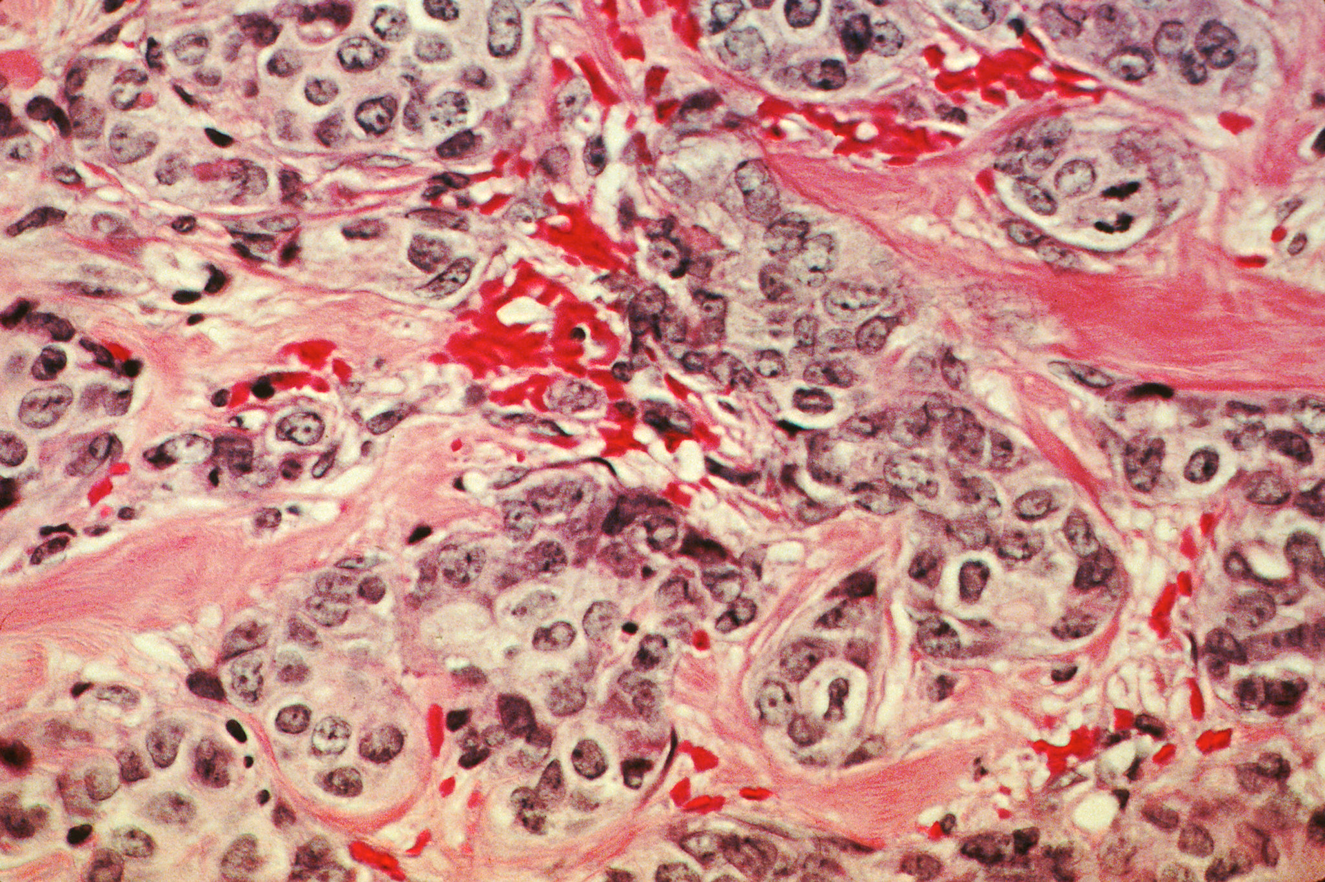
Merck announced that the U.S. Food and Drug Administration (FDA) has approved KEYTRUDA, Merck’s anti-PD-1 therapy, in combination with chemotherapy for the treatment of patients with locally recurrent unresectable or metastatic triple-negative breast cancer (TNBC) whose tumors express PD-L1 as determined by an FDA-approved test, according to a press release from Merck.
The approval is based on results from the Phase 3 KEYNOTE-355 trial, where KEYTRUDA in combination with chemotherapy – paclitaxel (pac), paclitaxel protein-bound (commonly known as nab-paclitaxel) or gemcitabine (gem) and carboplatin (carbo) – significantly reduced the risk of disease progression or death by 35 percent for patients whose tumors express PD-L1 versus the same chemotherapy regimens alone.
In the trial, 38 percent of patients had tumors expressing PD-L1 with CPS ≥10. This indication is approved under an accelerated approval based on progression-free survival (PFS). Continued approval for this indication may be contingent upon verification and description of clinical benefit in the confirmatory trials.
The accelerated approval was based on data from KEYNOTE-355 (ClinicalTrials.gov, NCT02819518), a multicenter, double-blind, randomized, placebo-controlled trial conducted in 847 patients with locally recurrent unresectable or metastatic TNBC, regardless of tumor PD-L1 expression, who had not been previously treated with chemotherapy in the metastatic setting. Patients were randomized (2:1) to receive either KEYTRUDA (200 mg on Day 1 every three weeks) or placebo (on Day 1 every three weeks) in combination with chemotherapy; all medications were administered via intravenous infusion:
In the study, the median duration of exposure to KEYTRUDA was 5.7 months (range, 1 day to 33.0 months). Fatal adverse reactions occurred in 2.5 percent of patients (n=596) receiving KEYTRUDA in combination with chemotherapy, including cardio-respiratory arrest (0.7 percent) and septic shock (0.3 percent). Serious adverse reactions occurred in 30 percent of patients receiving KEYTRUDA in combination with pac, nab-paclitaxel, or gem/carbo. Serious adverse reactions observed in less than 2 percent of patients were pneumonia (2.9 percent), anemia (2.2 percent), and thrombocytopenia (2 percent). KEYTRUDA was discontinued for adverse reactions in 11 percent of patients.

