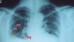
Over the last 20 years, treatments for pulmonary embolism advanced greatly. Several new therapies were developed alongside widespread adoption of emergency response teams for the condition, which is marked by a blockage of the arteries in the lungs often caused by a blood clot.
Despite these innovations, a Michigan Medicine study finds that the death rate for pulmonary embolism remains high and unchanged in recent years – more often killing men, Black patients and those from rural areas.
The results are published in the Annals of the American Thoracic Society.
Researchers analyzed over 100,000 deaths related to pulmonary embolism between 2006 and 2019 using national data from the Centers for Disease Control and Prevention.
They found that the death rate due to pulmonary embolism did not change significantly from 2.8 deaths per 100,000 people over the course of the decade. However, the mortality rate increased significantly among men, as well black patients, who were nearly two times more likely to die from the condition compared to white patients.
In rural areas, 4 patients per 100,000 died of pulmonary embolism, which is nearly double that of large metropolitan areas.

