NIH study finds that immunotherapy substantially increases survival of people with lymphomatoid granulomatosis

The findings suggest that immunotherapy can prevent the progression of low-grade disease to high-grade disease.
April 5, 2023

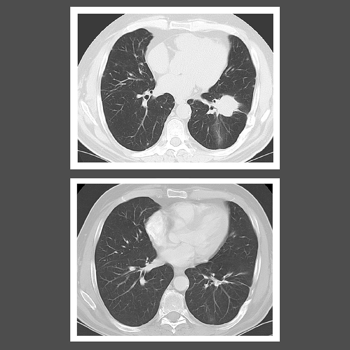
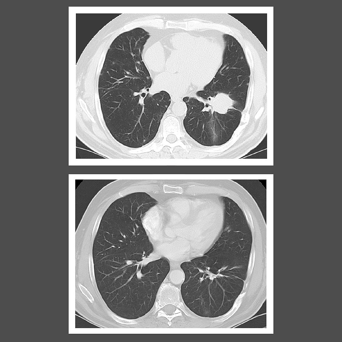
Results from a clinical trial conducted by researchers at the National Institutes of Health (NIH) show that people with low-grade lymphomatoid granulomatosis who are treated with interferon alfa-2b, a type of immunotherapy, can live for decades after diagnosis. Lymphomatoid granulomatosis is a rare precancerous condition triggered by Epstein-Barr virus infection. Left untreated, the disease can progress to a high-grade form, which has a poorer prognosis and can quickly turn into an aggressive and fatal B-cell lymphoma.

In the phase 2 trial, led by researchers in the Center for Cancer Research at the National Cancer Institute (NCI), part of NIH, patients treated with interferon alfa-2b lived for a median of about 20 years. By contrast, past studies reported a median survival of less than two years for people with lymphomatoid granulomatosis.

The findings suggest that immunotherapy can prevent the progression of low-grade disease to high-grade disease. The results were published March 31, 2023, in Lancet Haematology.

NIH release

About the Author

Sign up for our eNewsletters
Get the latest news and updates