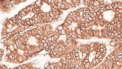
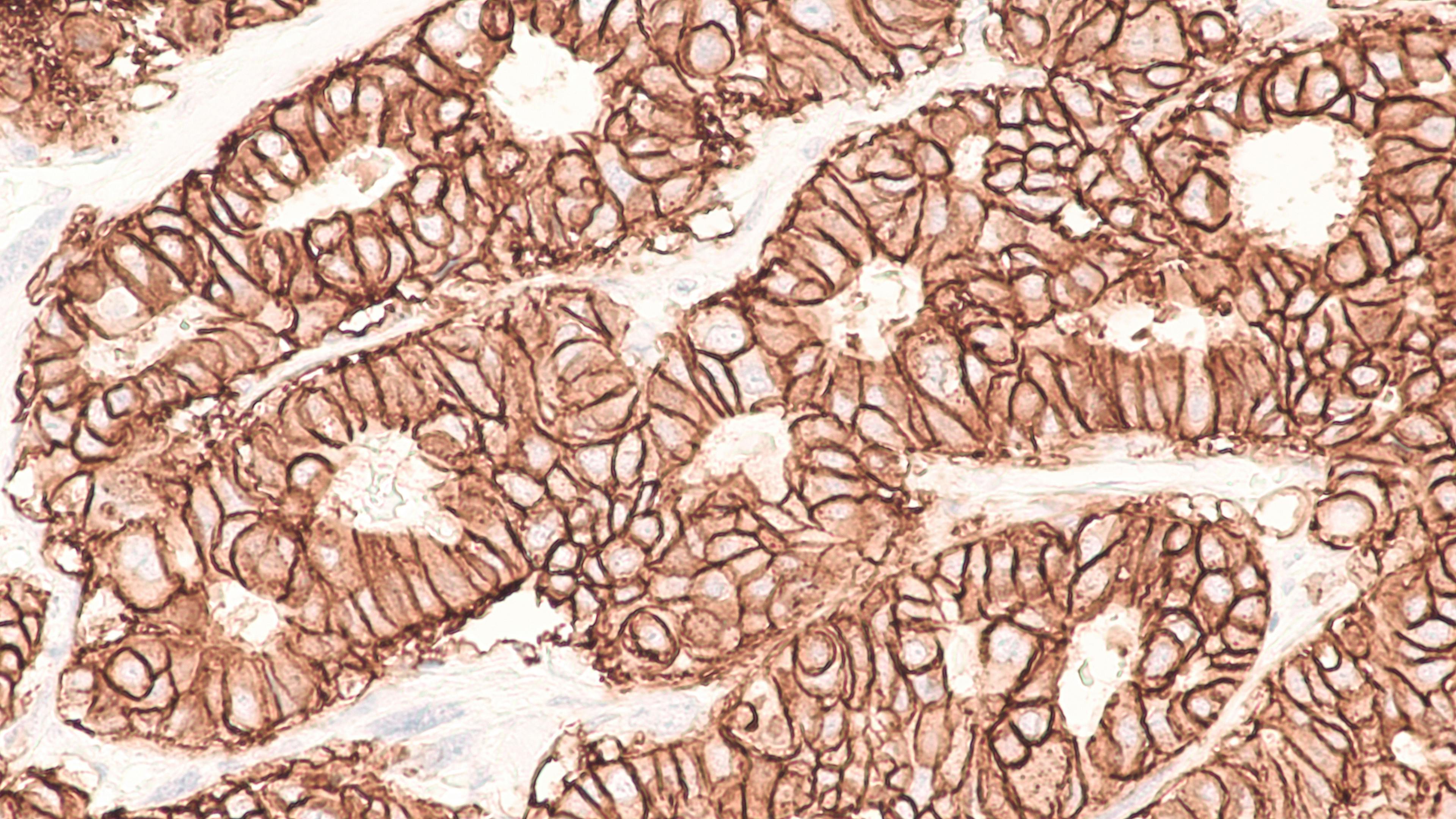
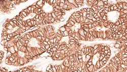
OptraSCAN will debut its HER2 Scan + Analyze Quantitative Solution Pilot Program at the College of American Pathologists (CAP) 2025 in Orlando, September 13–16.
The program gives labs early access to OptraSCAN’s pay-per-slide model, enabling digital HER2 workflows without added staff or capital costs. By combining scanning and AI-powered quantitative interpretation (CPT 88361), labs can increase throughput, improve consistency, and scale testing more efficiently than manual HER2 scoring (CPT 88342).
The pilot is limited; enrollment begins at CAP 2025, booth #206. Learn more at https://bit.ly/45Qt59t.
About the Author
Sign up for our eNewsletters
Get the latest news and updates

