Difficult diagnoses of soft tissue tumor aided by immunohistochemical surrogates
Immunohistochemistry (IHC) can serve as a powerful surrogate for genetic testing in the diagnosis of soft tissue tumors.
In a new review from the College of American Pathologists (CAP), "Immunohistochemical Surrogates of Molecular Genetic Alterations in Soft Tissue Tumors," co-authors Maria Del Carmen Rodriguez Pena, MD, FCAP, and Jason L. Hornick, MD, PhD, FCAP, detail how specific IHC markers can reliably indicate the presence of underlying genetic alterations, enabling early and accurate diagnosis, especially in challenging or resource-limited cases.
Recent research outlines key IHC surrogates for a range of tumor types, including:
- SS18::SSX markers for synovial sarcoma
- MUC4 for low-grade fibromyxoid sarcoma and sclerosing epithelioid fibrosarcoma
- ALK and ROS1 for inflammatory myofibroblastic tumors
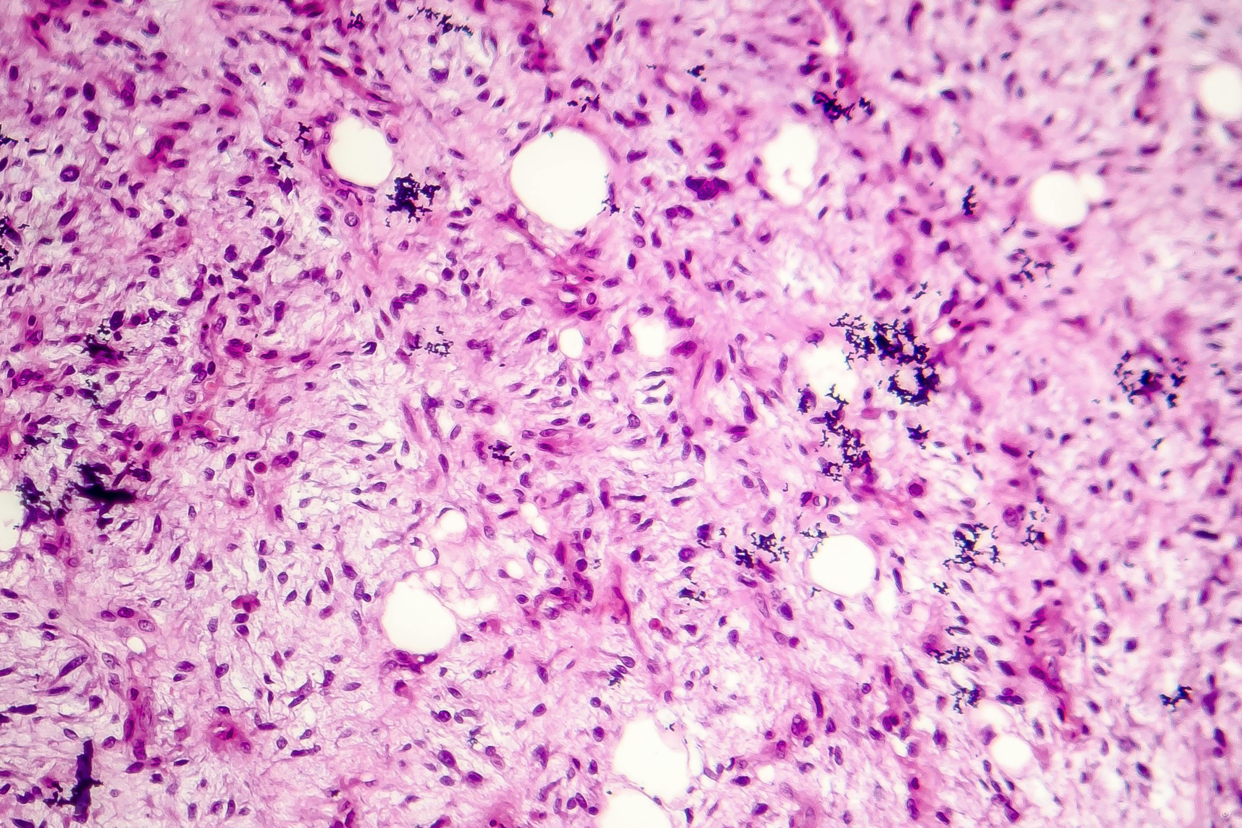
- DDIT3 for myxoid liposarcoma
- CAMTA1 for epithelioid hemangioendothelioma
The authors emphasize that while IHC is not a replacement for molecular testing in all cases, its utility as a rapid, cost-effective screening tool makes it indispensable in modern soft tissue pathology.

