Recurrent GBM brain tumors with few mutations respond best to immunotherapy
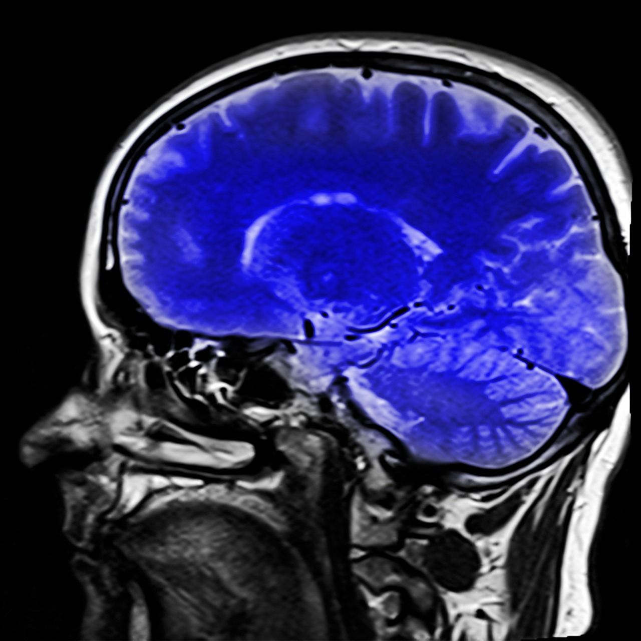
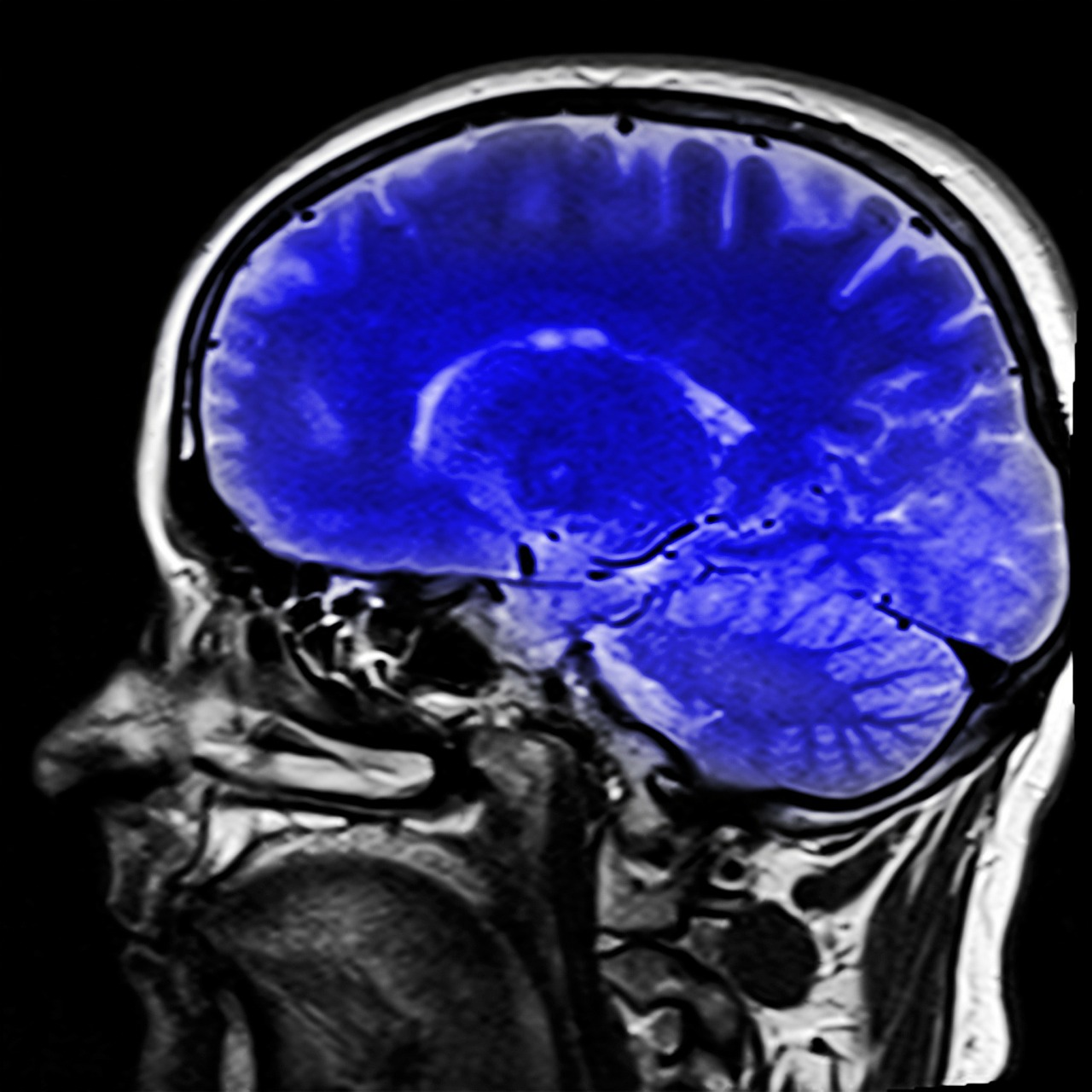
Glioblastoma brain tumors are especially perplexing. Inevitably lethal, the tumors occasionally respond to new immunotherapies after they’ve grown back, enabling up to 20 percent of patients to live well beyond predicted survival times, according to a news release from Duke University.
What causes this effect has long been the pursuit of researchers hoping to harness immunotherapies to extend more lives.
New insights from a team led by Duke’s Preston Robert Tisch Brain Tumor Center provide potential answers. The team found that recurring glioblastoma tumors with very few mutations are far more vulnerable to immunotherapies than similar tumors with an abundance of mutations.
The finding, appearing online in the journal Nature Communications, could serve as a predictive biomarker to help clinicians target immunotherapies to those tumors most likely to respond. It could also potentially lead to new approaches that create the conditions necessary for immunotherapies to be more effective.
The researchers performed genomic analyses of recurrent glioblastoma tumors from patients treated at Duke with the poliovirus therapy as well as others who received so-called checkpoint inhibitors, a form of therapy that releases the immune system to attack tumors.
In both treatment groups, patients with recurrent glioblastomas whose tumors had few mutations survived longer than the patients with highly mutated tumors. This was only true, however, for patients with recurrent tumors, not for patients with newly diagnosed disease who had not yet received treatment.

