Your lab is making a difference—now it’s time to be recognized. Celebrate your team’s innovation, dedication, and impact by submitting your nomination for MLO’s 2026 Lab of the Year Award by January 12.
President Trump released a Presidential Memorandum asking the Secretary of Health and Human Services and the Director of the Centers for Disease Control and Prevention to reassess U.S. childhood vaccine recommendations. CDC followed by signing a decision memorandum on January 5.
The Centers for Medicare & Medicaid Services (CMS) has expired several Clinical Laboratory Improvement Amendments of 1988 (CLIA) memos and guidance recently. The following memos are no longer in practice.
Join our free CE webinars covering key topics like digital microscopy in hematology, essential requirements for accurate hemoglobin A1c testing, and the evolving role of NT-proBNP in heart disease management to enhance clinical practice.
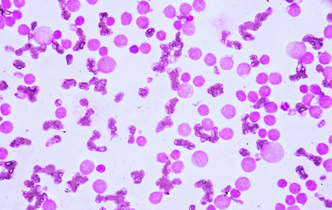
A groundbreaking study from the University of Miami uncovers how IDH2 and SRSF2 mutations work together to cause RNA splicing errors, altering blood cell development and opening new avenues for targeted AML therapies.